La alteración del equilibrio de las bacterias que habitan en la boca y la acumulación del biofilm oral (placa bacteriana) pueden producir la inflamación y el sangrado de las encías, dando lugar a enfermedades de las encías que se desarrollan tanto sobre dientes(gingivitis y periodontitis) o sobre implantes dentales (mucositis periimplantaria y periimplantitis).
La gingivitis es una reacción inflamatoria de la encía, es de carácter reversible. Es fácilmente visible a la inspección y se produce en respuesta al acumulo de biofilm oral. Es la forma más frecuente de las enfermedades del periodonto (tejido de soporte del diente), se presenta en todas las edades de los sujetos dentados. Si la gingivitis no es tratada, podría evolucionar y progresar hasta convertirse en periodontitis.
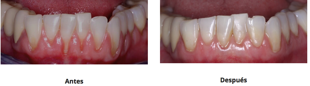
Hoy en día sabemos que si bien todas las periodontitis se inician con una gingivitis, no todas las gingivitis progresan a una periodontitis, la periodontitis no afecta por igual a todos los dientes, tiene predilección por ciertos sujetos y localizaciones. Clínicamente la periodontitisse caracteriza por la presencia de alteraciones de color, textura, forma de la encía y también por sangrado, retracción de las encías con exposición de raíz dental. En estadíos más avanzados de la enfermedad puede aparecer movilidad dentaria, supuración. pudiendo llegar a producirse la pérdida de la pieza dental.
Según la Sociedad Española de Periodoncia y Osteointegración, la gingivitis y la periodontitis son dos de las enfermedades más comunes, con una prevalencia del 59,8% y del 25,4% respectivamente, en adultos de entre 35 y 44 años y del 51,6% y 38% en pacientes de entre 65 y 74 años. Más de la mitad de la población española mayor de 35 años ha sufrido alguna vez gingivitis y una de cada tres periodontitis.
De igual modo que sucede en dientes naturales, en dientes que han sido sustituidos con implantes dentales también la mucosa de alrededor del implante se puede ver afectada por el biofilm oral. De hecho estos tejidos, llamados tejidos periimplantarios, presentan menor capacidad de respuesta frente a la agresión del biofilm oral en comparación con los tejidos periodontales.
La mucositis periimplantaria es la inflamación de la mucosa y los tejidos blandos que rodean a un implante sin signos de pérdida del hueso de soporte.
La periimplantitis se produce tras la progresión de la mucositis periimplantaria, en la que ya no sólo únicamente se ve afectada la mucosa periimplantaria sino también existe una afectación más interna, produciéndose una pérdida de hueso de soporte.
Origen
Las enfermedades de las encías se producen por la acumulación de biofilm oral, que es el principal agente etiológico de estas enfermedades periodontales (gingivitis y periodontitis) y periimplantarias (mucositis periimplantaria y periimplantitis).
Causas
Existen diversos factores que pueden favorecer la aparición de gingivitis inducida por la presencia de biofilm oral:
- Factores locales, o sólo a la presencia de biofilm oral: generalmente asocia a una higiene oral insuficiente, malposiciones dentarias, trauma oclusal, obturaciones desbordantes, ortodoncia fija y removible y prótesis removible y fija (puentes y coronas), pudiendo estas dos últimas irritar las encías e incrementar el riesgo de gingivitis.
- Factores sistémicos: algunas gingivitis están relacionadas con el sistema endocrino. Entre ellas se encuentran las asociadas al embarazo, pubertad, ciclo menstrual y diabetes no controlada, entre otras.
- Fármacos: como consecuencia del consumo de determinados medicamentos.
- Malnutrición: en ocasiones la gingivitis puede asociar a déficits nutricionales.
Si el cuadro de la gingivitis progresa puede ser que evolucione a periodontitis. En este caso, la inflamación de la encía se extiende a zonas más profundas del diente (ligamento periodontal, tejido conectivo y hueso alveolar).
Las situaciones que colocan al paciente en riesgo de padecer periodontitis:
- Tabaquismo
- Estrés emocional o físico
- Cambios hormonales: pubertad, embarazo, menopausia.
- Fármacos: como los anticonceptivos y los corticosteroides
- Infecciones agudas y enfermedades crónicas como la diabetes.
Estos mismos causas también son factores de riesgo que predisponen a padecer enfermedades periimplantarias (mucositis periimplantaria y periimplantitis).
Diagnóstico
El diagnóstico de las enfermedades en las encías se hace a partir de la observación y es fácil que uno mismo pueda detectar las problemáticas.
En el caso de la gingivitis, generalmente se observa enrojecimiento, inflamación y sangrado de la encía. Al mismo nivel se encuentra la mucositis periimplantaria en la que se observa una inflamación, enrojecimiento, sangrado de la mucosa que rodea al implante. Si se produce sangrado, es necesario visitar al odontólogo para descartar posibles complicaciones y para que recomiende el tratamiento más apropiado.
La periodontitis se caracteriza por presentar enrojecimiento, inflamación, sangrado, recesiones de la encía, movilidad dentaria y pérdida de hueso alveolar que da soporte a los dientes. De igual modo la periimplantitis se caracteriza por una inflamación, sangrado, recisiones de la encía, pérdida de hueso alveolar que soporta al implante en función.
Tratamiento odontológico
La prevención y el tratamiento de estas patologías periodontales y periimplantarias se deben centrar en la aplicación de medidas antiinfecciosas.
El objetivo es conseguir la desestructuración mecánica del biofilm oral (placa bacteriana) y la reducción de bacterias que causan patologías a niveles compatibles con la salud. Para ello, es necesario realizar tratamientos combinados que incluyan un tratamiento mecánico y químico. El tratamiento mecánico, a base de cepillos, ayuda a desestructurar el biofilm oral; sin embargo, presenta ciertas limitaciones. Por ello, el uso de antisépticos, como la Clorhexidina y el Cloruro de Cetilpiridinio, son de máxima utilidad como coadyuvante químico al tratamiento mecánico de control del biofilm oral.
Los antisépticos como la Clorhexidina, antiséptico de elección y otros como el Cloruro de Cetilpiridinio, son agentes con efecto antigingivitis y antiplaca. No todos los colutorios con Clorhexidina presentan la misma efectividad, ya que depende de la formulación completa en la que se encuentren. La Clorhexidina al 0,12%, en combinación con el Cloruro de Cetilpiridinio al 0,05% sin alcohol, está indicada en situaciones específicas como la periodontitis y periimplantitis. Numerosas publicaciones la avalan como la formulación antiséptica más eficaz .
La Clorhexidina a bajas concentraciones 0,05% en combinación con el Cloruro de Cetilpiridinio al 0,05% se puede recomendar de forma diaria a fin de controlar la recidiva de la enfermedad periodontal, sobre todo en pacientes no cumplidores, así como en situaciones de menor complejidad .
El uso de Cloruro de Cetilpiridinio al 0,05% es útil en la prevención de la aparición y evolución de la gingivitis y la mucositis periimplantaria.
Si se observan cambios en las encías, es importante visitar cuanto antes a un dentista. Su exploración y tratamiento será clave para poder recuperar la salud de las encías y prevenir la evolución de estas patologías.
Enfermedades periodontales durante el embarazo
Durante el embarazo, los cambios hormonales y fisiológicos en la mujer pueden agravar pequeñas complicaciones en la cavidad bucal propiciando la aparición de enfermedades periodontales como la gingivitis que, sin un buen tratamiento, puede evolucionar hacia periodontitis. En los meses de gestación existe un aumento de la permeabilidad vascular, lo que conlleva un incremento del paso de patógenos periodontales y de señales proinflamatorias de la superficie dental al torrente sanguíneo que pueden diseminarse de forma sistémica afectando a la placenta y aumentando el riesgo de desarrollar complicaciones en el recién nacido.
La inflamación y la infección de la placenta pueden provocar alteraciones en el embarazocomo un parto prematuro (antes de la semana 37 de gestación), bajo peso al nacer(inferior a 2.500 gramos) o pre eclampsia/eclampsia (asociada a la hipertensión inducida durante el parto y a elevados niveles de proteína en la orina).
Actualmente, entre el 60% y el 75% de las mujeres embarazadas sufren gingivitis durante el embarazo, una afectación conocida como gingivitis del embarazo y que suele empeorar a partir del segundo trimestre. El 50% de las mujeres con gingivitis antes del embarazo pueden sufrir empeoramiento del estado periodontal, llegando incluso a periodontitis.
La prevención tiene un papel primordial a la hora de reducir la incidencia de la gingivitis y evitar su progresión a periodontitis en mujeres embarazadas. Durante el embarazo se recomienda prestar especial atención a la higiene bucal diaria a través de un control físicodel biofilm oral con cepillo dental específico para el cuidado de encías e higiene interproximal y un control químico con dentífricos y colutorios que contengan antisépticos seguros y eficaces durante el embarazo como el Cloruro de Cetilpiridinio (CPC).
by http://www.dentaid.com/es/problemas-de-encias
El implante dental es una pieza que se coloca en el hueso de los maxilares con el propósito de sustituir artificialmente la raíz de un diente. La pérdida de una pieza dental puede deberse a múltiples factores, entre ellos las caries, la enfermedad periodontal, complicaciones endodónticas, traumatismos, predisposición genética para sufrir agenesia (ausencia de piezas dentales).
1. Explicar la hipersensibilidad dental: exposición de los túbulos dentinales.
Es responsabilidad de los padres, junto con la orientación profesional del odontopediatra, crear unos buenos hábitos de higiene oral en los niños. Es importante seleccionar un cepillo dental adecuado con filamentos suaves para realizar una limpieza eficaz de los dientes y las encías. Así mismo, la selección de la pasta o gel dentífrico debe ir acompañado del consejo profesional. En la mayoría de los casos se recomienda el flúor (fortalecedor del esmalte dental), que debe ser administrado de manera responsable según la edad del niño. El uso de enjuagues bucales puede ser utilizado cuando el niño adquiere habilidades para escupir y no tragarse el líquido.