Aparatos que se utilizan tras el tratamiento de ortodoncia para mantener los dientes en su sitio:
Los tres tipos de aparatos más utilizados para mantener el resultado logrado por el tratamiento de ortodoncia son:
- La ferulización lingual.
- La placa de Hawley de contención.
- La férula de retención acrílica.
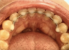
La ferulización lingual consiste en colocar un alambre por la parte lingual de los
dientes anteriores (para que no se vea y
sea una retención estética). El alambre va unido a cada diente con composite. La ferulización es permanente.
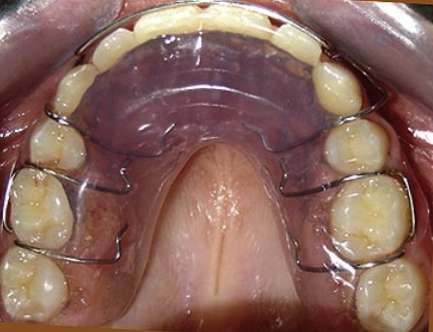
- La placa de Hawley de contención es un aparato removible con diferentes partes: una zona acrílica o de resina por la parte interna de los dientes de la que salen diversos alambres. Algunos de estos alambres son para lo grar retención, es
decir, para que el aparato no se caiga, mientrasque el alambre conocido como arco vestibular sirve para aguantar los dientes anteriores por su parte más externa. El apoyo de la resina por detrás y del arco por delante permite lograr la estabilidad de los dientes. Este aparato al ser removible debe ser usado las horas indicadas por el profesional, según las necesidades del paciente. Siempre se debe retirar para comer. -
La férula de retención acrílica se fabrica con la configuración de los dientes en boca tras realizar el tratamiento de
ortodoncia. Se realiza sobre unos modelos tomados tras el tratamientos. Este apararato se ajusta perfectamente en la arcada dental del paciente y es necesario llevarlo las horas que indique el profesional. Al ser semirrígido mantiene los dientes en su lugar. Al ser transparente la estética es buena