Aunque la prevalencia de la avulsión dental es baja (del 1 al 16% de todos los traumatismos), el pronóstico a largo plazo es
sombrío ya que sólo del 4 al 50% de los dientes avulsionados sobreviven más de diez años.
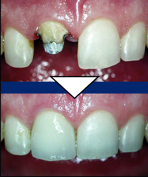
No obstante se están utilizando diversos fármacos para evitar o disminuir la aparición de complicaciones, como la reabsorción radicular inflamatoria, se sigue insistiendo que el tiempo extraoral, el medio de conservación, el tipo y tiempo de ferulización, el estado de desarrollo radicular y el manejo endodóncico son los factores determinantes en el pronóstico a largo plazo del diente avulsionado.
Qué hacer según el caso:
- Niños o jóvenes con diente permanente joven (raíz no cerrada completamente)
- Nada más se el cae el diente guardarlo en un recipiente con (por orden de mayor preferencia a menor):
- Solución de Hank (farmacia)
- Leche desnatada
- Suero
- Saliva
- Si ha pasado menos de 1 hora su pronóstico es mucho mejor, pues posiblemente podríamos conseguir que el diente se revitalice y se cure y pueda seguir creciendo.
- Siempre tenemos en cuenta los controles posteriores ya que el diente puede reaccionar anquilosando (fusionándose al hueso), por lo que debemos actuar ya que sino el paciente al estar en crecimiento el margen óseo quedaría por encima del resto (sobretodo en niños con 7-12 años), ya que ese diente no acompaña al crecimiento. Las lesiones en las que más tienden a anquilosar el diente son la avulsión e intrusión.
- Se actuaría con una decoronación (retirar solo la corona y colocar un provisional o la corona del mismo paciente apoyada en los dientes de al lado) para mantener la raíz en el hueso y que a partir del final del crecimiento se pueda colocar un implante ya que el volumen se ha mantenido en cierto modo, pero probablemente será preciso actuar con regeneraciones de tejido duro y blando, sobretodo en sectores estéticos.
- Si ha pasado más de 1 hora su pronóstico empeorará, por lo que debe acudir al dentista de urgencias.
- Se le limpiará el diente, se le recolocará y se le fertilizará (inmovilizarlo) y se tendrá que controlar el diente lesionado al cabo de 2-4-6-8 semanas, al año y cada 3 años. Probablemente se producirá reabsorción inflamatoria y necrosis, por lo que se deberá endodonciar en 1 o 2 visitas.
- Nada más se el cae el diente guardarlo en un recipiente con (por orden de mayor preferencia a menor):
- Adultos (diente permanente con raíz cerrada completamente, claro)
- Menos o más de 1 hora se limpia el diente, se recoloca, se coloca medicamento y se endodoncia siempre.

arse de dos a tres meses para atornillarle el diente?


donde establezcan correctamente la indicación y que valoren con usted las alternativas.



