Estás escuchando a diario que fumar perjudica a tu salud. Sabes que fumar produce problemas respiratorios y pulmonares. ¿Y tu boca? ¿Sufre tu boca al fumar? Sí, sufre, y mucho. Al encender un cigarrillo le haces un flaco favor a tu dentadura y a tus encías. Los efectos que produce el tabaco van desde pequeños cambios estéticos en los dientes hasta algunos tipos de cáncer que afectan a la cavidad oral. Como autor de esta página no puedo más que animaros a abandonar el hábito de fumar, pero sé que no todo el mundo será capaz de hacerlo. Si no lo hacéis me gustaría incentivaros a tener una higiene bucodental excelente para intentar que los efectos del tabaco sean los menores posibles. De todas maneras después de leer esto no sé si seguiréis queriendo fumar. Os enumero aquí algunos problemas que surgen en la boca como consecuencia de fumar, desde el problema más grave hasta el menor.

El cáncer oral en fumadores
Es, sin duda, el problema más serio relacionado con el tabaco. Una higiene oral deficiente es un factor de riesgo para desarrollar cáncer oral y los pacientes que no se cepillan nunca tienen un mayor riesgo de desarrollar, además, cáncer de esófago.
Entre el 75% y el 90% de todos los casos de cáncer oral están ligados a los efectos combinados del consumo de tabaco y alcohol. Los fumadores que no consumen alcohol tienen un riesgo entre 2 y 4 veces mayor de desarrollar cáncer oral que las personas que no beben ni fuman, mientras que fumar y beber multiplica por 38 la posibilidad de desarrollar un cáncer. Pero aún hay más: las lesiones malignizables (aquellas consideradas como lesiones precancerosas) se producen con una frecuencia seis veces mayor en fumadores que en no fumadores.
¿Cómo afecta el tabaco a tus encías?
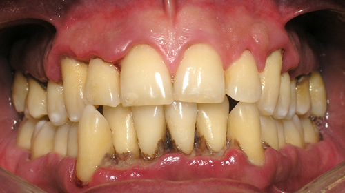
Los fumadores presentan más periodontitis, y más graves. Estas periodontitis se caracterizan por unas bolsas periodontales más profundas y una pérdida de inserción del diente más grave. Los fumadores tienen normalmente una encía con un tono más pálido del habitual y los fumadores de larga duración presentan dientes con pérdida de soporte óseo, “descarnados” y con una estética que envejece la sonrisa, ya que desaparecen las papilas de la encía entre los dientes y aparecen espacios oscuros donde deberían de estar las papilas, de muy difícil solución estética por parte del dentista.
Así, los fumadores presentan un riesgo entre 2,5 y 6 veces mayor de sufrir enfermedad periodontal que los no fumadores. El hábito de fumar también ha demostrado tener un efecto adverso sobre la cicatrización de las heridas tras las intervenciones quirúrgicas.
Además, el tabaco enmascara la inflamación de las encías y hace que sangren menos pese a estar inflamadas. Muchos pacientes notan un aumento en el sangrado durante el cepillado tras disminuir el consumo de tabaco.
¿Tienen más caries los fumadores?
Entre los fumadores se observa una mayor cantidad de caries en las raíces de los dientes, ya que el hábito tabáquico provoca la pérdida de su soporte y expone la raíz, área del diente con un riesgo de caries elevado. A su vez, presentan una disminución de la secreción salivar, lo que conlleva una menor capacidad neutralizadora de la placa.
Los fumadores presentan un mayor número de bacterias agresivas para las encías y peor control de placa que los no fumadores. Los niveles de bacterias patógenas en la placa dental son mayores en las zonas de cepillado más complejas y de difícil acceso, lo que requiere el uso de un cepillo de dientes eficaz que permita eliminar estos depósitos de placa.
¿Qué son el paladar y la melanosis del fumador?
Las personas que fuman muchos cigarrillos desarrollan de forma frecuente un paladar duro, pálido o blanco, a menudo combinado con múltiples puntos rojos. Esto se debe a la isquemia circulatoria (constricción de los vasos sanguíneos con un menor flujo de sangre) y puede desaparecer tras dejar de fumar.
Además, el gran consumo de tabaco a veces también está asociado a pigmentaciones con melanina (pigmentaciones oscuras), especialmente en las mejillas y en la encía adherida. Éste es un cambio asintomático y reversible, aunque normalmente se tarda más de un año en recuperar el color normal después de abandonar el hábito.
¿Afecta a los implantes dentales?
La tasa de fracaso de los implantes dentales es mayor en los fumadores. El hábito tabáquico está relacionado con una mayor pérdida del soporte óseo de los implantes, especialmente en el maxilar superior, influyendo en la pérdida total de un implante dental. Además, existe un mayor riesgo de fracaso en la integración del implante tras ser colocado.
El mal aliento de los fumadores (halitosis)
Aquellas personas que no son fumadoras, saben muy bien lo molesto que puede resultar el aliento de los fumadores. Los fumadores habituales pueden acostumbrarse tanto a este olor (y hasta al sabor), que no les incomoda su propio aliento, ni el de otros fumadores.
El olor propio del tabaco, sumado a las sustancias que se adicionan a los cigarrillos (nicotina y alquitrán, entre otros), se adhiere a la mucosa de la boca, de la lengua y de los dientes. Por esto puede generar un olor característico en el aliento y/o agravar la halitosis originada por otras causas.
Otros efectos del consumo de tabaco que potencian la aparición del mal aliento, están relacionadas con la irritación de las mucosas de la boca y de las vías respiratorias y digestivas superiores, que en general presentan sequedad en la cavidad bucal, impidiendo el efecto de la saliva en la oxigenación e higiene de la boca. Así mismo, el humo del tabaco puede agravar las enfermedades periodontales y otras patologías de la boca y la garganta.
El olor que deja impregnado el cigarrillo es tan fuerte, que incluso puede permanecer por más de un día luego de fumar. Esto obliga a muchos fumadores a consumir productos que enmascaran la situación. Una solución definitiva a esta realidad es reducir sustancialmente el hábito de fumar o dejarlo definitivamente.
¿Y la estética?
El esmalte dental, además de cambiar de color, se debilita y se hace más frágil, se cristaliza. Todas los problemas del tabaco en la cavidad oral que he ido citando deberían ser razones para animar a los fumadores a apagar definitivamente el cigarrillo. Si eres fumador intenta dejar de fumar, tu salud oral te lo agradecerá.

Te puede interesar este artículo relacionado con la halitosis.


